Yazdır

Koagülaz-Negatif Stafilokoklarda Makrolid-Linkozamid-Streptogramin B Grubu
Antibiyotiklere Karşı Nadir Direnç Genlerinin Araştırılması*

Investigation of the Rare Genes Related to Resistance to Macrolide-Lincosamide and
Streptogramin B Group Antibiotics Among Coagulase-Negative Staphylococci

Havva ŞAKAR1, İpek MUMCUOĞLU1, Neriman AKSU1, Zeynep Ceren KARAHAN2, Şenol KURŞUN1,
Semra KUŞTİMUR3

1 Ankara Numune Eğitim ve Araştırma Hastanesi, Tıbbi Mikrobiyoloji Bölümü, Ankara.

1 Ankara Numune Training and Research Hospital, Department of Medical Microbiology, Ankara, Turkey.

2 Ankara Üniversitesi Tıp Fakültesi, Tıbbi Mikrobiyoloji Anabilim Dalı, Ankara.

2 Ankara University Faculty of Medicine, Department of Medical Microbiology, Ankara, Turkey.

3 Gazi Üniversitesi Tıp Fakültesi, Tıbbi Mikrobiyoloji Anabilim Dalı, Ankara.

3 Gazi University Faculty of Medicine, Department of Medical Microbiology, Ankara, Turkey.

* Bu çalışma tıpta uzmanlık tezi çalışması olarak yapılmış ve 34. Türk Mikrobiyoloji Kongresi (07-11 Kasım 2010 Girne, KKTC)'nde poster olarak sunulmuştur.

ÖZET

Stafilokok enfeksiyonlarının tedavisinde makrolid, linkozamid ve streptogramin B (MLSB) grubu antibiyotikler ilk seçenek olarak önerilmektedir. Bu gruptaki antibiyotiklerin hepsi bakteri ribozomunun 50S alt ünitesine bağlandıkları için çapraz direnç gelişimi önemli bir sorundur. Dirençten sorumlu mekanizmalar arasında; (a) erm genlerinin kodladığı metilazlar yoluyla ribozomal hedefin modifikasyonu, (b) msrA, msrB, vga, vgb genlerinin sorumlu olduğu ilacın hücre dışına atılması ve (c) linA, vat, vatB genlerinin sorumlu olduğu ilacın enzimatik inaktivasyonu yer almaktadır. En sık görülen direnç genleri erm ve msr iken, çeşitli çalışmalarda linA, vga, vgb, vat ve vatB genlerinin varlığından da söz edilmektedir. Bu çalışmada çeşitli klinik örneklerden izole edilen 454 koagülaz-negatif stafilokok (KNS) suşunda nadir bildirilen MLSB direnç genleri incelenmiş ve erm, msr genleriyle birlikte bulunma sıklıkları araştırılmıştır. KNS izolatlarının %46.5 (n= 211)'i Staphylococcus hominis, %30.8 (n= 140)'i Staphylococcus epidermidis, %12.1 (n= 55)'i Staphylococcus haemolyticus, %3.5 (n= 16)'i Staphylococcus warnerii ve %7 (n= 32)'si diğer türlerden oluşmaktadır. Suşların direnç fenotipleri, "Clinical and Laboratory Standards Institute (CLSI)" önerilerine göre D-test yöntemi uygulanarak belirlenmiştir. D-test ile suşların 107 (%23.6)'si M (eritromisine dirençli ve D-test ile indüklenebilir klindamisin direnci tespit edilmeyen fenotip), 92 (%20.3)'si iMLSB (D-test ile indüklenebilir klindamisin direnci tespit edilen fenotip) ve 110 (%24.2)'u cMLSB (yapısal olarak eritromisin ve klindamisin direncinin görüldüğü fenotip) fenotipi olarak saptanmıştır. iMLSB (n= 92) ve cMLSB (n= 110) fenotipi gösteren suşların tamamı ile M fenotipi gösteren 107 suş arasından rastgele seçilen 46 suş, linA, vga, vgb, vat, vatB, ermA, ermB, ermC, msrA ve msrB genlerinin varlığı açısından polimeraz zincir reaksiyonu yöntemiyle incelenmiştir. Tek başına veya erm ve/veya msr genleriyle kombine olarak 91 (%20) suşta linA, 19 (%4.2) suşta vga gen varlığı saptanmıştır. linA geni; iMLSB, cMLSB ve M fenotipi gösteren suşların sırasıyla %52, %26 ve %13'ünde tespit edilirken, vga geni sırasıyla %5.4, %12 ve %0.9 suşta gösterilmiştir. iMLSB ve cMLSB fenotipi gösteren suşlarda en sık görülen direnç geni ermC iken (sırasıyla; %32.6 ve %42.7), bunu ermC + linA gen kombinasyonu (sırasıyla; %31.5 ve %14.5) izlemiştir. M fenotipi gösteren suşlarda en sık görülen direnç msrA ve msrB gen kombinasyonu (%34.8) olmuş, ikinci sırayı msrA + msrB + linA (%19.1) kombinasyonu almıştır. Çalışmaya alınan hiçbir izolatta vgb, vat ve vatB genleri belirlenmemiştir. Ülkemizde daha önce yapılmış MLSB grubu antibiyotiklere karşı nadir görülen direnç genleriyle ilgili çalışmaya rastlanmamıştır. Bu çalışma linA, vga, vgb, vat ve vatB genlerinin sıklığına ait ilk rapordur. Sonuç olarak, linA ve vga genlerinin yüksek sıklıkta görülmesi epidemiyolojik gen çalışmalarında bu genlerin de araştırılmaları gerektiğini göstermektedir.

Anahtar sözcükler: Koagülaz-negatif stafilokok; MLSB; D-test; direnç geni; erm; msr; linA; vga; vgb; vat; vatB.

ABSTRACT

Macrolide-lincosamide-streptogramin B (MLSB) group antibiotics are recommended as first choice in the treatment of staphylococcal infections. All of those drugs bind to the 50S subunit of bacterial ribosomes, thus cross-resistance is a major concern in this group of drugs. The mechanisms associated to resistance are (a) ribosomal methylation due to the methylases encoded by erm genes, (b) active drug efflux due to msrA, msrB, vga, vgb gene activity, (c) enzymatic inactivation of the drug due to the activity of linA, vat, vatB genes. While the most common resistance genes are ermA, ermB, ermC, msrA and msrB genes; linA, vga, vgb, vat and vatB genes have also been found in some studies. In this study it was aimed to investigate the presence of the rare MLSB resistance genes and their coexistence with erm and msr genes in 454 clinical isolates of coagulase-negative staphylococci (CNS). Of them 46.5% (n= 211) were S.hominis, 30.8% (n= 140) were S.epidermidis, 12.1% (n= 55) were S.haemolyticus, 3.5% (n= 16) were S.warnerii and 7% (n= 32) were the other coagulase-negative staphylococcal species. Resistance phenotypes were determined by using D-test method according to the recommendation of Clinical and Laboratory Standards Institute (CLSI). With the D-test 107 (23.6%) strains were determined as M phenotype (resistant to erythromycin and inducible clindamycin resistance was not detected), 92 (20.3%) were iMLSB phenotype (inducible clindamycin resistance was detected by the D-test) and 110 (24.2%) were cMLSB phenotype (constitutive erythromycin and clindamycin resistance was detected). linA, vga, vgb, vat, vatB, ermA, ermB, ermC, msrA, msrB genes were investigated by polymerase chain reaction in all strains showing iMLSB (n= 92) and cMLSB (n= 110) phenotypes and 46 randomly selected strains among 107 strains exhibiting the M phenotype. linA gene was found in 91 (20%) strains as single gene or in combination with erm or msr genes, and vga gene was found in 19 (4.2%) strains. linA gene was found in 52% of iMLSB phenotype, in 26% of cMLSB phenotype and 13% of M phenotype while vga gene was found in 5.4% of iMLSB phenotype, in 12% of cMLSB phenotype and in 0.9% of M phenotype. The most common resistance gene among iMLSB and cMLSB phenotypes was ermC (32.6% and 42.7%, respectively), followed by ermC + linA gene combination (31.5% and 14.5%, respectively). The most frequent gene combination was msrA and msrB in M phenotype (34.8%) and it was followed by a combination of msrA + msrB + linA genes (19.1%). None of the strains revealed presence of vgb, vat and vatB genes. There were no previous reports about the rarely detected resistance genes against MLSB antibiotics in our country. This was the first study which reported the frequency of linA, vga, vgb, vat and vatB genes in MLSB resistant CNS. In conclusion, since linA and vga genes were detected in high frequency in MLSB resistant CNS in this study, it was thought that the investigation of these genes should be included in the further related epidemiologic gene research.

Key words: Coagulase-negative staphylococci, MLSB; D-test; resistance gene; erm; msr; linA; vga; vgb; vat; vatB.

Geliş Tarihi (Received): 24.05.2011 • Kabul Ediliş Tarihi (Accepted): 28.11.2011

GİRİŞ

Deri ve mukozaların normal florasında bulunan ve geçmişte sıklıkla kontaminant bakteri olarak değerlendirilen koagülaz-negatif stafilokok (KNS) suşları, günümüzde invazif uygulamaların artmasıyla birlikte en sık izole edilen mikroorganizmalar arasında yer almıştır1,2,3. KNS'lerin özellikle nozokomiyal bakteriyemi etkeni olarak önem kazanmaları bu bakterilerdeki antimikrobiyal direnç sorununu gündeme getirmiştir. Stafilokoklar günümüzde glikopeptid antibiyotikler de dahil olmak üzere birçok antibiyotiğe direnç geliştirmiştir4,5.

Makrolid, linkozamid ve streptogramin B (MLSB) grubu antibiyotikler, stafilokok enfeksiyonlarının tedavisinde ilk seçenek olarak önerilmektedir. Ancak, MLSB grubu antibiyotiklerin bakteri ribozomundaki bağlanma bölgeleri örtüştüğü için çapraz direnç gelişimi önemli bir sorundur. Dirençten üç farklı mekanizma sorumlu olup en sık görüleni eritromisin ribozomal metilaz (erm) genlerinin kodladığı metilazlar yoluyla oluşan ribozomal hedefin modifikasyonudur6. Tespit edilen diğer direnç mekanizmaları; msrA, msrB, vga, vgb genlerinin sorumlu olduğu ilacın hücre dışına atılması (efluks) ve linA, vat, vatB genlerinin sorumlu olduğu ilacın enzimatik inaktivasyonudur6,7,8. Makrolid direnci yapısal ya da indüklenebilir olabilir9. Yapısal direnç disk difüzyon testiyle rahatlıkla gözlemlenirken, indüklenebilir direncin ortaya konulması için "Clinical and Laboratory Standards Institute (CLSI)" önerilerine göre D-test yönteminin uygulanması gerekir. Yapısal dirençte tüm 16 üyeli makrolidlere direnç gelişirken, indüklenebilir MLSB (iMLSB) direnci taşıyan suşlar 14 ve 15 üyeli makrolidlere dirençli, 16 üyeli makrolidlere duyarlıdır6,10. Böylece yapısal MLSB dirençli (cMLSB) suşlar bu gruptaki antibiyotiklerin tümüne dirençli iken, indüklenebilir dirençli (iMLSB) suşlar linkozamid ve streptogramin B'ye duyarlı, ancak makrolidlere dirençli görülmektedir7. Direnç nedeniyle oluşan tedavi başarısızlığını en aza indirmek ve gereksiz antibiyotik kullanımını önlemek için direnç mekanizmalarının iyi bilinmesi ve tespit edilmesi önemlidir.

MLSB direncinin sıklığı ülkeden ülkeye hatta aynı ülkede merkezler, hasta grupları ve bakteri türleri arasında değişkenlik göstermektedir7. Bölgesel MLSB direnç fenotiplerinin, bu direncin moleküler temelini ortaya koyacak gen analizleriyle doğrulanarak belirlenmesi, klinisyene ampirik tedavinin seçiminde yardım edeceği gibi, laboratuvarın doğru ve güvenilir sonuç vermesini de sağlayacaktır. Ülkemizde MLSB direnci ile ilgili fenotipik çalışmalar olmasına rağmen genotipik çalışmalar azdır. Ayrıca, dirence neden olan nadir genlerin belirlenmesi konusunda bir çalışmaya rastlanmamıştır. Bu çalışmada çeşitli klinik örneklerden izole edilen KNS suşlarında nadir bildirilen MLSB direnç genleri incelenmiş ve erm, msr genleriyle birlikte bulunma sıklıkları araştırılmıştır.

GEREÇ ve YÖNTEM

Çalışmaya, Ankara Numune Eğitim ve Araştırma Hastanesi Mikrobiyoloji ve Klinik Mikrobiyoloji Laboratuvarında çeşitli klinik örneklerden izole edilen 454 adet KNS suşu dahil edildi. KNS'lerin tür düzeyinde tanımlanması GP kartları ve antibiyotik duyarlılığı AST-P535 kartları kullanılarak VITEK sistemi (bioMerieux, Fransa) ile yapıldı. Tanımlanan ve antibiyotik duyarlılıkları belirlenen tüm suşlara CLSI önerilerine uygun olarak D-test yöntemi uygulandı11. Bu amaçla, eritromisin (15 µg, BD BBL) ve klindamisin (2 µg, BD BBL) diski 15-26 mm mesafeyle yerleştirildi. Kontrol suşu olarak S.aureus 25923 (makrolid ve klindamisine duyarlı; direnç genlerini içermeyen suş) kullanıldı. Klindamisin zonunun eritromisine bakan tarafında düzleşme olmuşsa indüklenebilir klindamisin direnci (D-test pozitif, iMLSB direnç fenotipi); eritromisine dirençli, klindamisine duyarlı ve düzleşme olmaksızın dairesel bir inhibisyon alanı oluşmuşsa indüklenebilir klindamisin direnci negatif (D-test negatif, M direnç fenotipi) olarak değerlendirildi. Eritromisin ve klindamisinin her ikisine de dirençli ise yapısal direnç fenotipi (cMLSB) olarak kabul edildi6.

iMLSB, cMLSB fenotipi gösteren tüm suşlarda ve rastgele seçilen 46 M tipi suşta direnç genlerinin varlığı, polimeraz zincir reaksiyonu (PCR) ile araştırıldı. Bu amaçla kanlı agarda üretilen suşlardan DNA ekstraksiyonu, fenol-kloroform yöntemiyle gerçekleştirildi12. linA, vga, vgb, vat, vatB, ermA, ermB, ermC, msrA ve msrB genleri sırasıyla linA F (5' GGT GGC TGG GGG GTA GAT GTA TTA ACT GG 3') ve linA R (5' GCT TCT TTT GAA ATA CAT GGT ATT TTT CGA TC 3'); vgaF (5' CCA GAA CTG CTA TTA GCA GAT GAA 3') ve vgaR (5' AAG TTC GTT TCT CTT TTC GAC G 3'); vgbF (5' ACT AAC CAA GAT ACA GGA CC 3') ve vgbR (5' TTA TTG CTT GTC AGC CTT CC 3'); vat F (5' CAA TGA CCA TGG ACC TGA TC 3') ve vat R (5' CTT CAG CAT TTC GAT ATC TCC 3'); vatB F (5' CCC TGA TCC AAA TAG CAT ATA TCC 3') ve vatB R (5' CTA AAT CAG AGC TAC AAA GTG 3'); ermA F (5' GTT CAA GAA CAA TCA ATA CAG AG3') ve ermA R (5' GGA TCA GGA AAA GGA CAT TTT AC 3'); ermB F (5' CCG TTT ACG AAA TTG GAA CAG GTA AAG GGC 3') ve ermB R (5' GAA TCG AGA CTT GAG TGT GC 3'); ermC F (5' GCT AAT ATT GTT TAA ATC GTC AAT TCC 3') ve ermC R (5' GGA TCA GGA AAA GGA CAT TTT AC 3'); msrA F (5' GGC ACA ATA AGA GTG TTT AAA GG3') ve msrA R (5' AAG TTA TAT CAT GAA TAG ATT GTC CTG TT3'); msrB F (5' TAT GAT ATC CAT AAT AAT TAT CCA ATC 3') ve msrB R (5' AAT TTA TAT CAT GAA TAG ATT GTC CTG TT 3') primerleri kullanılarak PCR protokolü ile yapıldı13. Elde edilen PCR örnekleri 0.5X TBE tamponu içinde %2'lik (wt/vol) agaroz jele yüklenerek 100 voltta bir saat yürütüldü. Daha sonra etidyum bromür ile boyanarak ultraviyole transilüminatör (TFX 20M, Vilber Lourmat, Fransa) altında görüntülendi. Elde edilen bant paternleri, moleküler büyüklük belirteci (50 bç O'Range Ruler, Fermentas, Litvanya) standart alınarak değerlendirildi.

BULGULAR

Çalışmaya alınan KNS izolatlarının %46.5 (211/454)'i S.hominis, %30.8 (140/454)'i S.epidermidis, %12.1 (55/454)'i S.haemolyticus ve %10.6 (48/454)'sı diğer türler olarak tanımlanmıştır (Tablo I). D-test yöntemiyle suşların 107 (%23.6)'si M, 92 (%20.3)'si iMLSB ve 110 (%24.2)'u cMLSB fenotipi olarak belirlenmiştir (Tablo I). VITEK sistemi ile AST-P535 kartı kullanılarak yapılan değerlendirmede tüm suşlar kinupristin-dalfopristine duyarlı bulunmuştur.


Tablo I

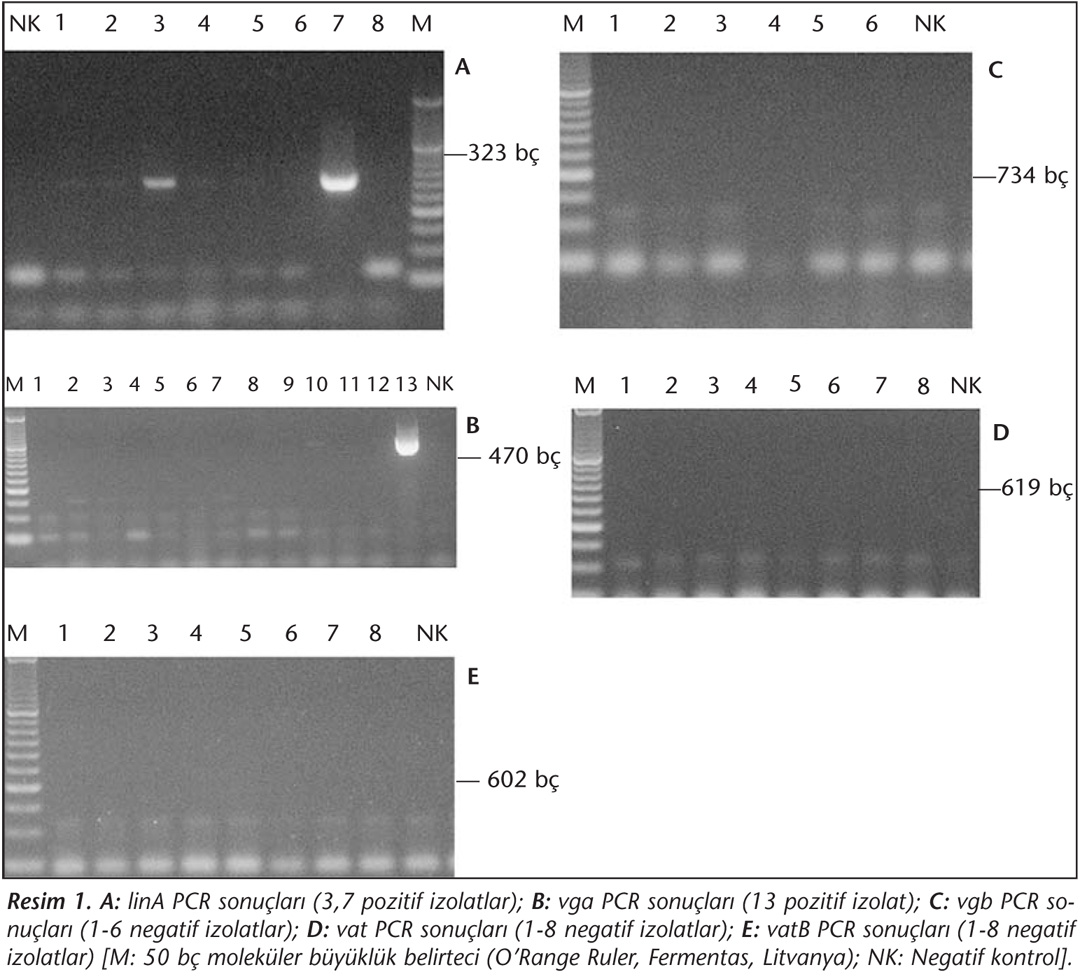
iMLSB, cMLSB ve M fenotipi gösteren suşlarda tespit edilen tüm direnç genleri ve gen kombinasyonları Tablo II'de görülmektedir. Çalışılan hiçbir izolatta vgb, vat, vatB genleri belirlenmemiştir. linA geni; iMLSB, cMLSB ve M fenotipi gösteren suşların sırasıyla 48 (%52), 29 (%26) ve 14 (%13)'ünde tespit edilirken, vga geni sırasıyla 5 (%5.4), 13 (%12) ve 1 (%0.9) suşta gösterilmiştir. linA geninden başka direnç geninin tespit edilmediği iMLSB, cMLSB ve M fenotipi suşlarının sayısı sırasıyla 5 (%5.4), 3 (%0.3), 1 (%0.9) olarak bulunurken, bu suşlardan sekizinin S.hominis, birinin cMLSB fenotipinde S.epidermidis suşu olduğu izlenmiştir. Tek başına vga geni, cMLSB fenotipli 3 (%0.3) suşta belirlenmiş ve bunlardan ikisinin S.hominis, birinin S.warnerii olduğu görülmüştür. Tek başına veya diğer genlerle kombine olarak linA ve vga geni taşıdığı tespit edilen KNS suşları Tablo III'te verilmiştir.


Tablo 2


Tablo 3

iMLSB fenotipinde en fazla ermC (%32.6) geninin bulunduğu, ermC + linA gen kombinasyonunun ise ikinci sıklıkta (%31.5) olduğu görülmüştür. Bir suşta hiçbir direnç genine rastlanmamıştır. cMLSB fenotipi gösteren suşlar arasında ermC (%42.7) en sık görülen gen olup, bunu ermC + linA gen kombinasyonu (%14.5) izlemiştir. Dokuz suşta araştırılan hiçbir direnç geni bulunamamıştır. M fenotipi gösteren suşlar arasında ise en fazla (%34.8) msrA ve msrB gen kombinasyonu görülürken, ikinci sırayı msrA + msrB + linA gen kombinasyonu (%19.1) almıştır. Dört suşta hiçbir direnç geni bulunamamıştır. Direnç genleri için elektroforez görüntüleri Resim 1'de verilmiştir.


Resim 1

TARTIŞMA

Stafilokoklarda MLSB direncinden sorumlu mekanizmalar ile ilgili olarak, ülkemizde yapılan çalışmalarda sadece erm ve msr genleri araştırılmış, diğer direnç genleriyle ilgili bir çalışmaya rastlanmamıştır14,15,16,17,18. Bu çalışma, ülkemizde MLSB direncinden sorumlu diğer direnç genlerinin araştırıldığı ilk çalışma özelliğini taşımaktadır. Konu ile ilgili ilk yurt dışı çalışmada, Allignet ve arkadaşları19 streptogramin A'ya dirençli 20 KNS suşunda vga, vgb, vat ve vatB genlerini PCR yöntemiyle araştırmışlar; 12 S.epidermidis suşunun vga, birer suşun ise vatB ve vga + vatB gen kombinasyonu taşıdığını belirlemişlerdir. Bu araştırıcılar, dört S.haemolyticus suşunun üçünde tek başına vga geni, birinde ise vga + vat + vgb gen kombinasyonu saptarken, bir S.simulans ve bir S.cohnii subsp. urealyticum suşunda da vga + vat + vgb gen kombinasyonunu göstermişlerdir19. Lina ve arkadaşları13 yaptıkları çalışmada makrolid, linkozamid ve/veya streptogramine dirençli 150 KNS ve 144 S.aureus izolatında erm, msr, vga, vgb, vat, vatB ve linA/linA genlerini incelemişler; bu genlerin hepsinin KNS'lerde S.aureus suşlarına göre daha fazla görüldüğünü bildirmişlerdir. Bu araştırıcılar, bizim çalışmamıza benzer olarak nadir genleri dirençten tek başına sorumlu olarak değil, erm ve msr genleriyle kombine olarak bulmuşlar; ayrıca yedi suşun bu direnç genlerinden hiçbirini taşımadığını göstermişlerdir13. Bizim çalışmamızda da 14 suşta hiçbir direnç geninin bulunmaması, tespit edilmemiş başka direnç genleri olduğunu düşündürmektedir. Bemer ve arkadaşları20 ise diğer çalışmalardan farklı olarak, S.epidermidis suşlarında erm ve msr genlerine rastlamamışlardır. İncelenen 12 S.epidermidis suşundan dokuzunun yalnız vga, birinin yalnız vga ve birinin de vga + vgb kombinasyonu taşıdığını göstermişlerdir20.

Bizim çalışmamızda iMLSB fenotipi gösteren 92 suş değerlendirilmiş ve en sık (29 suş, %31.5) ermC + linA gen kombinasyonu görülmüştür. Lina ve arkadaşlarının13 yaptığı çalışmada yalnız bir S.epidermidis suşunda linA + ermC gen kombinasyonu bulunmuştur. Bemer ve arkadaşlarının20 çalışmasında ise sadece S.aureus suşlarında bu gen kombinasyonları belirlenmiş, KNS'lerde bulunmamıştır. Lecrecq ve arkadaşları21 15 KNS suşunda sadece linA geni bulurken, Lina ve arkadaşları13 iki S.epidermidis suşunda sadece linA geni belirlemişlerdir. Çalışmamızda ise beş suşun yalnız linA geni taşıdığı bulunmuştur. Sadece vga geni varlığı da, Allignet ve arkadaşlarının19 çalışmasında 15 KNS suşunda, Lina ve arkadaşlarının13 çalışmasında üç KNS suşunda, Bemer ve arkadaşlarının20 çalışmasında ise 10 S.epidermidis suşunda tespit edilmiştir. Çalışmamızda, tüm bu çalışmalardan farklı olarak iMLSB fenotipi olup yalnız vga geni taşıyan hiçbir suş belirlenmemiştir. Ayrıca çalışmamızda iMLSB fenotipi gösteren altı KNS suşunda ermC + msrA + msrB + linA gen kombinasyonu bulunmuştur. Tüm bu çalışmaların sonuçlarındaki farklılıklar, direnç paternlerinin bölgelere göre değişebileceğinin ve her bölgenin kendi epidemiyolojik çalışmalarını yapması gerektiğinin göstergesidir.

Araştırmamızda cMLSB fenotipi gösteren suşlar değerlendirildiğinde; en sık (%14.5) saptanan gen kombinasyonu ermC + linA olmuş, altı suşta yalnız vga geni bulunmuştur. Lina ve arkadaşlarının13 çalışmasında vga + erm genleri kombinasyonu yedi suşta saptanmıştır. Bu sonuçlar, bölgesel farklılıklar için iyi bir örnek oluşturmaktadır. Ayrıca, çalışmamızda cMLSB fenotipi gösteren dokuz suşta araştırılan hiçbir direnç geninin bulunmaması, bu fenotipte tespit edilmemiş başka direnç genleri olduğunu düşündürmektedir.

MS fenotipi gösteren suşlardan çalışmaya alınan 46 izolatta en sık (16 suş) msrA + msrB gen kombinasyonu görülmüş, bunu dokuz suşla msrA + msrB + linA kombinasyonu izlemiştir. Bir suşta vga geni bulunmuş, dört suşta ise hiçbir direnç geni belirlenememiştir. M fenotipi gösteren suşlarda, diğer fenotiplerden farklı olarak dirençten sıklıkla efluks pompalarının sorumlu olduğu düşünülmüştür. Yapılan diğer çalışmalardan farklı olarak, çalışmamızda iMLSB ve cMLSB fenotipi gösteren suşlarda erm ve/veya msr genleriyle birlikte linA ve/veya vga gen kombinasyonları daha sık belirlenmiştir. Çalışmamızda bir diğer dikkat çekici nokta ise; diğer araştırmalardan13,19,20,21 farklı olarak hiçbir suşta vgb, vat ve vatB genini belirlememiş olmamızdır.

Ülkemizde bugüne kadar yapılan çalışmalarda sadece erm ve msr genleri çalışılmıştır. Aktaş ve arkadaşları14 tarafından yapılan çalışmada, KNS suşları arasında cMLSB (%57.8), iMLSB (%20.6) ve M (%21.6) oranları bizim çalışmamızdan daha yüksek bulunmuş; dirençten en sık sorumlu olan genin ermC (%78.2) olduğu bildirilmiştir. Benzer olarak Çetin ve arkadaşlarının15 çalışmasında 301 stafilokok suşu araştırılmış; yüksek cMLSB (%63.5) ve iMLSB (% 36.5) oranları tespit edilmiş ve yine en sık ermC (%30) genine rastlanmıştır. Her iki çalışmada da S.aureus suşları ile karşılaştırıldığında KNS'lerde MLSB direncinin daha yüksek olduğu belirlenmiştir14,15. Gül ve arkadaşları17, çalışmalarında farklı olarak en sık ermA (%37.7) genine rastlamışlardır; ancak çalışmaya sadece S.aureus suşlarının alınmış olması bu farklılığı yaratmış olabilir.

Sonuç olarak, ülkemizde olduğu gibi hastanemizde de MLSB direncinden çoğunlukla erm ve msr genleri sorumludur. Ancak, çalışmamızda linA ve vga genlerinin tek başına veya erm ve msr genleriyle kombine olarak sıklıkla bulunması, dirençte azımsanamayacak bir rol oynadıklarını ve epidemiyolojik çalışmalarda bu genlerin de araştırılması gerektiğini düşündürmektedir. Bölgesel MLSB direncinin fenotipik ve genotipik olarak belirlenmesi, laboratuvarların doğru ve güvenilir sonuç vermesini sağlayacak ve klinisyene ampirik tedaviyi seçmesinde yardımcı olacaktır.

KAYNAKLAR

  1. von Eiff C, Peters G, Heilmann C. Pathogenesis of infections due to coagulase-negative staphylococci. Lancet Infect Dis 2002; 2(11): 677-85. [Özet]
  2. Kloos WE, Bannerman TL. Update on clinical significance of coagulase-negative staphylococci. Clin Microbiol Rev 1994; 7(1): 117-40. [Özet] [PDF]
  3. Thylefors JD, Harbarth S, Pittet D. Increasing bacteremia due to coagulase-negative staphylococci: fiction or reality? Infect Control Hosp Epidemiol 1998; 19(8): 581-9. [Özet]
  4. Livermore DM. Antibiotic resistance in staphylococci. Int J Antimicrob Agent 2000; 16(Suppl 1): S3-10. [Özet]
  5. Gür D. Bakterilerde antibiyotiklere karşı direnç, s: 182-92. Willke Topçu A, Söyletir G, Doğanay M (ed), Enfeksiyon Hastalıkları ve Mikrobiyolojisi, Cilt 1. 2002. Nobel Tip Kitabevleri, İstanbul.
  6. Leclercq R. Mechanisms of resistance to macrolides and lincosamides: nature of the resistance elements and their clinical implications. J Clin Infect Dis 2002; 34(4): 482-92. [Özet] [Tam Metin] [PDF]
  7. Fiebelkorn KR, Crawford SA, McElmeel ML, Jorgensen JH. Practical disk diffusion method for detection of inducible clindamycin resistance in Staphylococcus aureus and coagulase-negative staphylococci. J Clin Microbiol 2003; 41(10): 4740-4. [Özet] [Tam Metin] [PDF]
  8. Delialioglu N, Aslan G, Ozturk C, Baki V, Sen S, Emekdas G. Inducible clindamycin resistance in staphylococci isolated from clinical samples. Jpn J Infect Dis 2005; 58(2): 104-6. [Özet] [PDF]
  9. Leblebicioğlu H. Makrolidler. İnfeksiyon Dergisi 2001; 15(2): 189-92.
  10. Weisblum B. Macrolide resistance. Drug Resist Updat 1998; 1(1): 29-41. [Özet]
  11. Clinical and Laboratory Standards Institute. Performance standards for antimicrobial susceptibility testing. M100-S19, 2009. CLSI, Wayne, Pa.
  12. Ida T, Okamoto R, Shimauchi C, Okubo T, Kuga A, Inoue M. Identification of aminoglycoside-modifying enzymes by susceptibility testing: epidemiology of methicillin-resistant Staphylococcus aureus in Japan. J Clin Microbiol 2001; 39(9): 3115-21. [Özet] [Tam Metin] [PDF]
  13. Lina G, Quaglia A, Reverdy ME, Leclercq R, Vandenesch F, Etienne J. Distribution of genes encoding resistance to macrolides, lincosamides, and streptogramins among staphylococci. Antimicrob Agents Chemother 1999; 43(5): 1062-6.
    [Özet] [Tam Metin] [PDF]
  14. Aktas Z, Aridogan A, Kayacan CB, Aydin D. Resistance to macrolide, lincosamide and streptogramin antibiotics in staphylococci isolated in Istanbul, Turkey. J Microbiol 2007; 45(4): 286-90. [Özet] [PDF]
  15. Cetin ES, Gunes H, Kaya S, Aridogan BC, Demirci M. Distribution of genes encoding resistance to macrolides, lincosamides and streptogramins among clinical staphylococcus isolates in a Turkish university hospital. J Microbiol Immunol Infect 2010; 43(6): 524-9. [Özet]
  16. Saribas Z, Tunckanat F, Ozcakir O, Ercis S. Investigation of macrolide-lincosamide-streptogramin B [MLS(B)] and telithromycin resistance in clinical strains of staphylococci. Mikrobiyol Bul 2010; 44(2): 177-86. [Özet] [PDF]
  17. Gul HC, Kilic A, Guclu AU, Bedir O, Orhon M, Basustaoglu AC. Macrolide-lincosamide-streptogramin B resistant phenotypes and genotypes for methicillin-resistant Staphylococcus aureus in Turkey, from 2003 to 2006. Pol J Microbiol 2008; 57(4): 307-12. [Özet] [PDF]
  18. Yilmaz G, Aydin K, Iskender S, Caylan R, Koksal I. Detection and prevalence of inducible clindamycin resistance in staphylococci. J Med Microbiol 2007; 56(Pt3): 342-5. [Özet] [Tam Metin] [PDF]
  19. Allignet J, Aubert S, Morvan A, el Solh N. Distribution of genes encoding resistance to streptogramin A and related compounds among staphylococci resistant to these antibiotics. Antimicrob Agents Chemother 1996; 40(11): 2523-8.
    [Özet] [PDF]
  20. Bemer P, Juvin ME, Corvec S, Ros A, Drugeon H. Correlation of agar dilution and VITEK2 system for detection of resistance to macrolides, lincosamides and pristinamycin among Staphylococcus aureus and Staphylococcus epidermidis: association with genotypes. Europ. Society of Clin Microbiol and Infect Dis 2005; 11(8): 656-61.
    [Özet] [Tam Metin] [PDF]
  21. Leclerq R, Noel AB, Duval J, Courvalin P. Phenotypic expression and genetic heterogeneity of lincosamide inactivation in Staphylococcus spp. Antimicrob Agents Chemother 1987; 31(12): 1887-91. [Özet] [PDF]

İletişim (Correspondence):

Uzm. Dr. İpek Mumcuoğlu,

Ankara Numune Eğitim ve Araştırma Hastanesi,

Tıbbi Mikrobiyoloji Bölümü,

Talatpaşa Bulvarı No: 5

Altındağ, Ankara, Türkiye.

Tel (Phone): +90 312 508 4000,

E-posta (E-mail): ipekmumcuoglu@hotmail.com

Yazdır