Yazdır

Özgün Çalışma/Original Article
Mikrobiyol Bul 2014; 48(3): 402-412

Helicobacter pylori CagA Antikorlarının Saptanması İçin Rekombinant Bir CagA Proteininin Üretilmesi*

Production of a Recombinant CagA Protein for the Detection of Helicobacter pylori CagA Antibodies

Miray AKGÜÇ1, Ersin KARATAYLI1, Esra ÇELİK1, Duygu KOYUNCU1, İnci ÇELİK1, Senem Ceren KARATAYLI1,
Ali ÖZDEN2, A. Mithat BOZDAYI1


1 Ankara Üniversitesi  Tıp Fakültesi, Hepatoloji Enstitüsü, Ankara.

1 Ankara University Faculty of Medicine, Institute of Hepatology, Ankara, Turkey.

2 Ankara Üniversitesi Tıp Fakültesi, Gastroenteroloji Bilim Dalı, Ankara.

2 Ankara University Faculty of Medicine, Department of Gastroenterology, Ankara, Turkey.

* Bu çalışma, 28. Uluslararası Gastroenteroloji Haftası (16-20 Kasım 2011, Antalya)'nda sözlü bildiri olarak sunulmuştur.

ÖZET

Helicobacter pylori enfeksiyonları günümüzde dünya nüfusunun yaklaşık %50'sini etkilemektedir. Kronik atrofik gastrit, peptik ve gastrik ülser gibi hastalıkların yanı sıra, H.pylori'nin gastrik kanserlerle de ilişkisi bilinmektedir. Bakterinin en önemli virülans faktörlerinden biri olan CagA proteininin (Cytotoxin-associated gene A), gastrik kanser gelişiminde rolü olabileceği öngörülmektedir. CagA antijeni klinik izolatların birçoğunda bulunan 128 kDa'luk hidrofilik bir proteindir. Bu protein epitelyal hücrelere tutunmakta ve farklı suşlarda sayıca değişiklik gösteren tirozin bölgelerindeki EPIYA motiflerinden fosforilasyona uğramaktadır. Bu EPIYA bölgeleri kendi içerisinde yüksek çeşitlilik göstermekte ve CagA negatif suşlardan daha yüksek gastrik kanser geliştirme riski taşımaktadır. Bu çalışmanın amacı, anti-CagA antikorlarının tespitinde kullanılmak üzere, rekombinant bir CagA proteinini eksprese edebilen prokaryotik bir sistemin oluşturulmasıdır. Çalışmada, H.pylori DNA izolasyonu için, önceden hızlı üreaz testi (CLO) ile pozitif olduğu saptanan 112 hastanın gastrik biyopsi örnekleri kullanılmıştır. Polimeraz zincir reaksiyonu (PCR) ile örneklerin 57'sinden H.pylori DNA'sı amplifiye edilmiş; bu örneklerin de 35'inde cagA geni varlığı saptanmıştır. cagA pozitif 35 örneğin 25'inden farklı EPIYA motifleri çoğaltılmış; klonlama için en yüksek sayıda EPIYA motifi içeren örneklerden biri seçilmiştir. Üretilen rekombinant fragmentin klonlanması ve ekspresyonu Champion Pet151/D vektörü (Invitrogen, ABD) ile gerçekleştirilmiştir. Ekspresyon E.coli bakteri kültürünün IPTG (Isopropyl-beta-D-thiogalactopyranoside) ile uyarılmasıyla başlatılmış ve protein analizleri anti-histidin HRP (Horse Radish Peroxidase) antikorları kullanılarak SDS-PAGE ve Western Blot (WB) analizleriyle yapılmıştır. Çalışmamızda, aynı H.pylori suşundan klonlanan iki farklı rekombinant bölge başarılı olarak üretilmiştir. CagA antijeninin H.pylori enfeksiyonlarının patogenezindeki önemi nedeniyle, invazif olmayan bir yöntem olarak hastalarda anti-CagA antikorlarının tespiti önem taşımakta ve bu amaçla genellikle ticari ELISA ve WB yöntemleri kullanılmaktadır. Bizim çalışmamızda üretilen rekombinant CagA proteini, hasta serumlarında anti-CagA antikorlarının araştırılması amacıyla geliştirilecek olan ELISA testlerinde kullanılabilir niteliktedir. Ancak çalışmamızda yöntem tasarımı yapılmadığından, geliştirdiğimiz rekombinant CagA proteinlerinin tanısal performasını değerlendirmek mümkün olmamıştır. Sonuç olarak geliştirdiğimiz rekombinant CagA antijen ekspresyon sistemi, gerek ülkemizin kendi ELISA testlerini hazırlaması konusunda öncülük edecek, gerekse anti-CagA antikorlarının araştırılması suretiyle hastalık prognozunun öngörülmesi ve uygun antimikrobiyal tedavinin seçilmesi açısından klinisyenlere yardımcı olacaktır.

Anahtar sözcükler: CagA; Helicobacter pylori; rekombinant protein ekspresyonu.

ABSTRACT

At present, Helicobacter pylori infections affect approximately 50% of the world population. It is known that H.pylori is related with several gastric diseases including chronic atrophic gastritis, peptic and gastric ulcers as well as gastric carcinomas. CagA (Cytotoxin-associated gene A) protein which is one of the most important virulence factors of H.pylori, is thought to be responsible for the development of gastric cancer. CagA is a 128 kDa hydrophilic protein which binds to the epitelial stomach cells and is known to be phosphorylated on its EPIYA regions. The EPIYA regions are highly variable and carry a higher risk of developing gastric cancer than CagA negative strains. The aim of this study was to construct a prokaryotic expression system expressing a recombinant CagA protein, which can be used for the detection of anti-CagA antibodies. For the isolation of H.pylori genomic DNA, a total of 112 gastric biopsy samples obtained from patients who were previously found positive for rapid urease (CLO) test, were used. H.pylori DNAs were amplified from 57 of those samples by polymerase chain reaction (PCR) and of them 35 were found positive in terms of cagA gene. Different EPIYA motifs were detected in 25 out of 35 cagA positive samples, and one of those samples that contained the highest number of EPIYA motif, was chosen for the cloning procedure. Molecular cloning and expression of the recombinant fragment were performed with Champion Pet151/D expression vector (Invitrogen, USA), the expression of which was induced by the addition of IPTG (Isopropyl-beta-D-thiogalactopyranoside) into the E.coli culture medium. Expression was observed with anti-histidin HRP (Horse Radish Peroxidase) antibodies by SDS-PAGE and Western Blot (WB) analysis. In our study, two clones possessing different fragments from the same H.pylori strain with three different EPIYA motifs were succesfully expressed. Since CagA antigen plays a signicant role in the pathogenesis of  H.pylori infections, the detection of anti-CagA antibodies done by non-invasive commercial ELISA or WB methods,  is important in diagnosis. Recombinant CagA protein produced in this study could easily be used in the ELISA tests to be developed for screening anti-CagA antibodies in the patients' sera. However, since an ELISA method using this antigen has not been developed yet,  its diagnostic performance could not be evaluated in this study. In conclusion, the construction of such a system for recombinant CagA antigen expression may be a pilot study for the development of our own ELISA tests in Turkey, and also will help the clinicians for the prediction of disease outcome and decision of the appropriate antimicrobial treatment by the help of anti-CagA antibody detection.

Key words: CagA, Helicobacter pylori; recombinant protein expression.

Geliş Tarihi (Received): 09.01.2014 • Kabul Ediliş Tarihi (Accepted): 19.05.2014

GİRİŞ

Helicobacter pylori 1984 yılında Marshall ve Warren tarafından rapor edildiğinden beri kronik atrofik gastrit ve peptik ülser gibi gastrik hastalıkların etiyolojik ajanı olarak kabul edilmektedir1. H.pylori, gram-negatif, spiral ya da çubuk şeklinde ve yediye kadar varabilen kılıflı flagellaya sahip hareketli bir bakteridir2. Bugün için dünya nüfusunun yaklaşık %50'si H.pylori ile enfekte olup, bunların hemen hepsinde kronik gastrit, %10-15'inde ise peptik ülser, malt lenfoma ve daha az oranda gastrik kanser görülmektedir3,4. Ülkemizde yapılan çalışmalarda H.pylori seroprevalansı, yaş gruplarına göre değişmek üzere ortalama %20-85 oranları arasında bildirilmekte olup, enfeksiyonun genellikle 10 yaşına kadar kazanıldığı ve yaş ilerledikçe seropozitifliğin arttığı vurgulanmaktadır5,6,7,8.

Helicobacter pylori'de 120-140 kDa ağırlıkları arasında yüksek immünojenik bir proteinin varlığı, 1993 yılında Covacci ve arkadaşları9 tarafından fark edilmiş, aynı anda klonlanmış ve ekspresyon analizleri yapılmıştır. Günümüzde “sitotoksin ile ilişkili gen A (CagA)” olarak adlandırılan bu protein, H.pylori'nin en önemli virülans faktörü olarak kabul edilmektedir10,11. CagA geni, yaklaşık 30 genden oluşan CagA patojenite adası (cag-PAI)'nın içinde bulunmaktadır. Bu bölgedeki genlerin çoğu, tip IV sekresyon sistemi olarak adlandırılan yapının parçasıdır. Cag-PAI pozitifliği, batı ülkelerindeki H.pylori suşlarının yaklaşık %60'ında, Doğu Asya ülkelerinde ise %100'e yakın oranlarda saptanmaktadır1.

Gastrik epitel hücrelere tutunmanın ardından, CagA pozitif suşlar CagA proteinini tip IV sekresyon sistemi vasıtasıyla konağın doku hücreleri içerisine enjekte eder12,13. Transloke olan protein plazma membranının iç yüzeyine lokalize olur. Protein burada src ailesi kinazları (SFKs) tarafından tirozin fosforilasyonuna uğrar, bir tirozin fosfataz olan SHP-2 ile etkileşir ve epitel hücrelerinin adezyonu ve migrasyonuna neden olur14,15. Bu durum, mide epitel hücrelerinde sinek kuşu (humming bird) fenotipi olarak adlandırılan bir morfolojik değişime sebep olmaktadır12. CagA pozitif H.pylori suşları ile enfeksiyon, ileri dereceli gastrik mukozal inflamasyon ve ağır atrofik gastrit ile ilişkilendirilmiştir3,10,11. Yapılan çalışmalar, yüksek tekrarlarda EPIYA motifleri bulunduran CagA proteinlerinin gastrik kanser gelişme ihtimalini artırdığını göstermiş; CagA pozitif suşların gastrik kanser oluşturma riskinin, negatif suşlara göre iki kat daha fazla olduğunu bildirilmiştir16,17.

CagA varlığının, H.pylori patojenitesi ile yakından ilişkili olduğunun anlaşılmasını takiben, CagA tespitinin, mide kanseri gelişme riskinin öngörülmesine olanak vereceği düşüncesiyle CagA ile ilgili araştırmalar önem kazanmıştır. Bu hedefe yönelik olarak çalışmamızda, hasta serumlarında CagA'ya özgül antikorların tespiti için serolojik testlerde kullanılmak üzere bir prokaryotik cagA ekspresyon sisteminin oluşturulması amaçlanmıştır. Bu sistem, gerek ülkemizin kendi testlerini geliştirmesi konusunda öncülük edecek, gerekse anti-CagA antikorlarının araştırılması suretiyle hastalık prognozunun öngörülmesi açısından klinisyenlere yardımcı olacaktır.

GEREÇ ve YÖNTEM

Örnekler ve DNA İzolasyonu

Çalışmaya, Ankara Üniversitesi Tıp Fakültesi, Hepatoloji Enstitüsüne başvuran hastalardan endoskopi ile alınan ve CLO (Campylobacter-like organism test) hızlı üreaz testi ile H.pylori pozitif olduğu saptanan 112 hastanın gastrik biyopsi örnekleri dahil edildi. Örneklerin 72'sinin kültürü yapılarak üreyen bakterilerin DNA'ları fenol-kloroform yöntemiyle izole edildi18. Diğer 40 örnekten H.pylori DNA'larının izolasyonu ise, yine fenol-kloroform yöntemiyle, sonikatör ile homojenize edilen dokudan direkt olarak yapıldı.

Polimeraz Zincir Reaksiyonu (PCR)

H.pylori DNA'ları, DP1 ileri (5'-ACGGCGGCCGTAACTATA-3') ve ZGE23 geri (5'- ACAGGCCAGTTAGCTA-3')  primerleriyle yapılan PCR'de 23S rRNA bölgesi amplifiye edilerek izolatlar doğrulandı19. Reaksiyon 95ºC'de 5 dk denatürasyon sonrasında, 95ºC'de 1 dk, 50°C'de 1 dk ve 72ºC'de 2 dk olmak üzere 30 döngü olarak, devamında ise 72ºC'de 7 dk uzama reaksiyonu olarak gerçekleştirildi. CagA pozitif suşlar, boş bölge (empty site) PCR ile 468 HP519 ileri (5'-GCTTGCTTGTATTGGCCTTG-3') ve 496 HP549 geri (5'- GCATGCACATTCCCTAAA GT-3') primerleri kullanılarak belirlendi20. Reaksiyon 95ºC'de 2 dk denatürasyondan sonra, 40 döngü 95ºC'de 30 sn, 57ºC'de 30 sn ve 72ºC'de 20 sn, devamında ise 72ºC'de 5 dk uzama olarak gerçekleştirildi. Boş bölge PCR sadece cagA genini bulundurmayan genomlarda amplifikasyon sonucu veren bir primer dizaynından oluşmaktadır. Tirozin fosforilasyon motifleri (EPIYA), Argent ve arkadaşlarının16 gerçekleştirdiği PCR yöntemi kullanılarak belirlendi. Rekombinant cagA fragmentinin amplifikasyonu F2 ileri (5'-CACCGAATTCAAAAATGGCAAAAA-3') ve R8 geri (5'-TTATTAACCTGCTTTAGCTTCTGATACCG-3') primerleriyle yapıldı. Reaksiyon 95ºC'de 2 dk denatürasyonu takiben, 40 döngü 95ºC'de 30 sn, 59ºC'de 30 sn ve 74ºC'de 1.5 dk, devamında ise 74ºC'de 5 dk olarak gerçekleştirildi. İleri primerin 5' ucunda bulunan ve H.pylori'ye özgül olmayan CACC nükleotid dizisi klonlama sırasında kullanılmak üzere primer dizisine eklendi. PCR ürünleri NucleoSpin Extract II kiti (Macherey-Nagel, Almanya) ile jelden ekstrakte edildi.

Klonlama ve Dizileme Reaksiyonları

Klonlama vektörü olarak Champion Pet 151/D vektörü (Invitrogen, ABD) kullanıldı. Bu vektör yapısında, seçici üretim için ampisilin direnç bölgesi, Western Blot (WB) tekniği ile özgül protein tespiti için 6 adet histidin aminoasit dizisi ve V5 epitopu alarak adlandırılan ikincil bir aminoasit dizisi bulundurmaktadır. Protein ifadesi gerçekleştirildiğinde bu ek bölgelerin sağlıklı bir şekilde protein yapısından koparılabilmesi içinse ekstra bir Tobacco Etch virus (TEV) proteazı aminoasit dizisi içermektedir.

Rekombinant cagA bölgesinin klonlanması, üretici firmanın yönergeleri doğrultusunda gerçekleştirildi ve klonlanan vektörler “One shot” kompotent hücrelerine kimyasal olarak transforme edildi. Klonlama reaksiyonunun ürünleri 50-100 μg/ml ampisilin içeren Luria Broth (LB) plaklarına ekildi ve bir gece 37ºC'de inkübe edildi. İnkübasyon sonunda pozitif klonlar seçildi ve her biri 50-100 μg/ml  ampisilin içerecek şekilde 5 ml sıvı LB besiyerinde sallayıcı inkübatörde 37ºC'de gece boyu üremeye bırakıldı. Rekombinant plazmidler NucleoSpin Plasmid kiti (Macherey-Nagel, Almanya) ile izole edildi. Kullanılan vektör düşük kopya özellikte olduğu için, izolasyon sürecinde kitte belirtilen düşük kopya plazmid izolasyonu protokolü uygulandı. Rekombinant plazmidlerin dizi analizleri, ABI Prism 3100 Genetic Analyzer cihazında (Perkin Elmer, ABD) Sanger dideoksi zincir sonlanma metodu ile gerçekleştirildi. Dizileme reaksiyonlarında  T7 ileri ve geri primerleri kullanıldı. Doğru yönde ve okuma çerçevesinde  klonlanmış plazmidler T7 ekspresyon sistemine sahip BL21DE3 ekspresyon hücrelerine transforme edildi.

Protein Ekspresyonu

Rekombinant plazmid transforme edilmiş BL21DE3 hücreleri gece boyu 5 ml ampisilinli sıvı besiyerinde çoğaltıldı ve inkübasyon sonunda 50 ml taze besiyerine 1 ml inoküle edilerek, optik dansite 0.5-0.8 yoğunluğuna ulaşana kadar inkübasyona devam edildi. Yeterli hücre yoğunluğuna ulaşıldığında bakteri kültürü ikiye ayrıldı ve birisi 1 mM IPTG (isopropyl-beta-D-thiogalactopyranoside) ile uyarıldı. İki grup bakteri kültürü de gece boyu üretildi ve inkübasyon sonunda 2 ml bakteri kültürü protein ekspresyonu analizleri için ayrıldı.

SDS-PAGE ve Western Blot (WB) Analizleri

Bakteri kültürleri 1 dakika en yüksek devirde santrifüj edildi; sıvı besiyeri uzaklaştırılarak bakteri pelleti -20ºC'de saklandı. Analiz aşamasında ise pellet 80 µl 1X sodyum dodesil sülfat (SDS) tampon çözeltisinde çözülerek 10 x 10 cm SDS jele yüklendi. WB analizleri, SuperSignal® West HisProbe™ Kit (Thermo Scientific, ABD) ile üretici firmanın önerdiği protokol uygulanarak yapıldı.

BULGULAR

Çalışmamızda, kültürü yapılan 72 biyopsi örneğinin 46‘sında üreyen suşlardan ve 40 örnekten direkt olarak izole edilen toplam 86 H.pylori DNA'sı ile 23S RNA PCR reaksiyonu gerçekleştirilmiştir. PCR ile 86 örneğin 57'sinde H.pylori DNA‘sı başarılı bir şekilde amplifiye edilmiştir. Bu 57 örnekte CagA pozitifliğini saptamak için „boş bölge“ PCR uygulanmış; 35‘inde bant gözlemlenmemiş ve bu yöntem CagA negatif örnekleri amplifiye edebilecek şekilde tasarlandığı için, bu 35 örneğin CagA pozitif olduğuna karar verilmiştir.

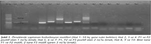
Tirozin fosforilasyon motiflerinin belirlenmesi için gerçekleştirilen PCR sonucunda; agaroz jelde fosforilasyon motifi 1 (P1) için 264 baz çiftlik (bç) bantlar, fosforilasyon motifi 2 (P2) için 309 bç'lik bantlar, fosforilasyon motifi 3 (P3) için ise 468, 570 ve 672 bç'lik bantlar gözlemlenmiştir. CagA pozitif olduğu saptanan 35 örneğin 15‘inde P1, P2 ve P3 motiflerinin her üçü de başarılı bir şekilde çoğaltılmıştır. Örneklerin 8‘inde sadece P1 ve P2, 2‘sinde sadece P1 motifi çoğaltılabilmiş; diğer 12 örnekte herhangi bir fosforilasyon motifi çoğaltılamamıştır (Şekil 1). Kullanılan F2 ileri primeri H.pylori'deki yüksek tekrar dizilerinin varlığı dolayısıyla iki ayrı bölgeye bağlanma göstermiş ve bu yüzden PCR sonucunda biri büyük (4 no‘lu klon) biri küçük (17 no‘lu klon) olmak üzere 2 amplikon oluşmuştur (Şekil 2). Klonlanacak bölgenin seçiminde, bir önceki aşamada tirozin fosforilasyon motiflerinin yüksek tekrarlarda olduğu örneklerin seçilmesine özen gösterilmiştir.


Şekil 1

Şekil 2

Pozitif klonlardan izole edilen plazmidlerin dizi analizi sonucunda; 4 no‘lu klonun içinde 939 bç'lik uzun fragmentin olduğu, 17 no‘lu klonun içinde ise 804 bç'lik kısa fragmentin olduğu saptanmıştır. Klonların okuma çerçeveleri ve klonlanma yönlerinin doğruluğu kontrol edilmiş ve herhangi bir çerçeve kayması ve mutasyona rastlanmamıştır (Şekil 3). Elde edilen 4 ve 17 no‘lu klonların dizi analizlerinden yola çıkılarak aminoasit dizileri elde edilmiş ve beklenen protein ağırlıkları ExPasy ve ACBB (http://bioinformatics.picr.man.ac.uk/research/software/tools/sequenceconverter. html) veri tabanlarında hesaplanmıştır. Bu ağırlıklar, 4 no‘lu klon için 37.6 kDa, 17 no‘lu klon içinse 32.6 kDa olarak saptanmış; bu hesaplamalar pet 151/D plazmidinden gelecek ek bölgelerin +4 kDa ağırlığı da eklenerek yapılmıştır. Elde edilen aminoasit dizileri BLAST veri tabanında araştırılmış ve H.pylori'de cagA genine ait bir bölge olduğu doğrulanmıştır. Dizi analizleri yapılan iki bölgenin üç ayrı fosforilasyon motifinden üçünü de bulundurduğu da bu yolla doğrulanmıştır (Şekil 4). İki fragment arasında bir aminoasitlik farklılık gözlenmiştir.


Şekil 3

Şekil 4

Çalışmada, seçici antibiyotikli besiyerinde üreyebilen koloniler pozitif kabul edilerek plazmid ekstraksiyonu için sıvı besiyerinde üretilmiştir. Pozitif olarak saptanan klonların arasından ekspresyon amaçlı seçilen 4 ve 17 no‘lu klonlar IPTG ile uyarıldıktan sonra 1.5'er ml besiyerinden bakteri pelleti ayrılmıştır. SDS-PAGE jeline kontrol amaçlı hem boş plazmid içeren E.coli hücre hattı hem de ticari firmanın sağladığı 120 kDa ağırlığındaki beta-galaktosidaz proteinini sentezleyen kontrol plazmidi (lacZ) ile transfekte edilen hücre hattı yüklenmiştir. BL21(DE3) hücre hattında ise 4 ve 17 no‘lu klonlarda IPTG eklenmesinin ardından beklenen boyutta belirgin bir ekspresyon artışı gözlemlenmiştir (Şekil 5). Kontrol örneklerinde boş vektörde herhangi bir ekspresyon değişimi görülmezken, lacZ plazmidinde B-galaktosidaz proteini başarılı bir şekilde eksprese edilmiştir.


Şekil 5

WB analizleri sonucunda BL21(DE3) hücre hattında 4 ve 17 no‘lu rekombinant proteinlerin varlığı doğrulanmıştır.

TARTIŞMA

H.pylori'de CagA pozitif ve negatif suşların tanımlanmasına yönelik çalışmalar,   önceleri cagA geninin PCR ile genotiplendirilmesi üzerinde olmuş; ilerleyen yıllarda ticari ELISA ve immünoblot testlerinin geliştirilmesiyle, araştırmalar hasta serumlarında anti-CagA antikorlarının tespit edilmesine yönelmiştir21,22,23. Bu testlerde kullanılmak amacıyla seçilen fragmentlerin güvenilirliği, üretilen proteinin antijenitesi ile doğru orantılı olarak artmakta ve testin kullanılacağı coğrafi bölge de bu konuda önem kazanmaktadır. Zira H.pylori, rekombinasyon ve mutasyon oranı çok yüksek bir bakteri olduğu için, farklı coğrafyalarda görülen genotip yoğunlukları da farklılık göstermektedir24. Özellikle Orta Asya ve Avrupa genotipleri, cagA dizileri ve EPIYA motifleri bakımından oldukça farklıdır. Bu nedenle, testlerde kullanılacak olan rekombinant proteinlerin de, genotip farklılıkları dikkate alınarak geliştirilmesi gerekmektedir. Türkiye'de genel olarak rastlanan H.pylori genotipi Avrupa ile benzerlik gösterdiğinden, çalışmamızda primerlerin ve eksprese edilecek cagA bölgesinin seçiminde, Avrupa ve Türkiye'ye yakın özellik gösteren dizi analizleri kullanılmış ve bunların içinden de korunmuş bölgeleri ve fosforilasyon motifleri en yüksek olanların seçilmesine özen gösterilmiştir.

Çalışmamızda, DNA‘ları başarılı olarak amplifiye edilebilen 57 örnekten 22'si CagA negatif, 35'i CagA pozitif olarak saptanmıştır. CagA pozitif örneklerin EPIYA motif analizleri yapılmış ve klonlama için en yüksek sayıda EPIYA motifi içeren örneklerden biri tercih edilmiştir. Klonlanacak bölgeyi çoğaltmak için gerçekleştirdiğimiz PCR'de, ileri primerin iki farklı bölgeye bağlanması sebebiyle H.pylori‘de iki farklı amplikon oluşmuş; bu amplikonlar bir arada klonlandığında biri büyük (4 no‘lu klon) biri küçük (17 no‘lu klon) boyda olmak üzere iki farklı klon elde edilmiştir. Elde edilen klonlar 37°C‘de 1 mM IPTG ile uyarılmış ve ekspresyon analizleri BL21(DE3) hücre hattında yapılmıştır. Bu klonlar (4 ve 17) başarılı bir şekilde BL21(DE3) hücrelerinde üretilebilmiş ve elde edilen proteinlerin hedef proteinler olduğu anti-histidin antikorlarıyla yapılan WB yöntemiyle doğrulanmıştır.

Bu çalışmada eksprese etmeyi başardığımız iki farklı rekombinant CagA proteini, pet151/D plazmidinin kendi yapısında bulunan altı adet histidin (6xHis) aminoasidi ve V5 epitopu ile bir aradadır. V5 epitopunun varlığı, anti-histidin antikorlarının yanı sıra anti-V5 antikorlarının da saptanabilmesine olanak sağlamaktadır. Ancak eksprese ettiğimiz bu rekombinant proteinler ile bir ELISA sistemi kurulmak istendiğinde, hedef proteinin antikor oluşumunu uyarabilme niteliği hibridoma teknolojisi ile araştırılmalıdır. Gerekirse tasarlanması muhtemel bir ELISA kitinde ikincil antikor olarak kullanılmak üzere monoklonal anti-rekombinant CagA üretim çalışmaları yapılmalıdır. Bu araştırma için ise hedef protein öncelikle saflaştırılmalı, daha sonra 6xHis eki ve V5 epitopundan ayrılarak özgül bir hale getirilmelidir. Bu çalışmada üretilen rekombinant proteinler, reçine bazlı afinite kromatografi yöntemi ile saflaştırılabilir niteliktedir; zira reçine, 6xHis aminoasidine karşı yüksek ilgi ve seçicilik gösteren bir moleküldür. Pet 151/D vektörü aynı zamanda bu ekleri ayırarak saf CagA proteini elde etmemizi sağlayacak olan TEV proteaz bölgesi ile bir aradadır. Elde ettiğimiz bu proteinler TEV proteaz enzimi ile muamele edilerek bu ek bölgelerinden ayrılabilme niteliğine sahiptir. Ancak hedef proteine herhangi bir 6xH tabanlı saflaştırma işlemi uygulanacaksa bu işlem saflaştırmadan sonraya bırakılmalıdır.

H.pylori enfeksiyonunda çoğu enfekte birey asemptomatik iken, bazı durumlarda enfeksiyon akut veya kronik gastrit ile seyretmekte ve peptik ülser ve gastrik adenokarsinoma gelişiminde önemli rol oynamaktadır2,3. CagA pozitif hastalarda CagA'nın yüksek antijenitesi antikor oluşumunu uyarmaktadır ve bu antikor H.pylori enfeksiyonunda özel klinik bir belirteç olarak kabul edilmiştir11. H.pylori'ye yönelik ELISA testleri önceleri çoğunlukla tüm hücre lizatının antijen olarak kullanılması prensibiyle oluşturulmuş; rekombinant CagA üretimi ise tanıya yönelik alanlardaki saf antijen ihtiyacını karşılaşmıştır. Saf CagA antijenlerinin eksikliğinde total H.pylori proteinlerinin kullanılması, anti-CagA antikorlarının üretilmesini ve hibridoma çalışmalarında tek klon eldesini zorlaştırmakta ve karmaşıklaştırmaktadır. H.pylori'de CagA‘ya yönelik geliştirilen ELISA testleri, gen havuzundaki yoğunluğuna bakmaksızın tek bir H.pylori suşuna özgül antikor yanıtını tespit edilebilmesinin yanı sıra, CagA'nın kanser başta olmak üzere çeşitli gastrik hastalıklardaki rolünün araştırılmasında ve tedavi stratejilerinin geliştirilmesinde de önem taşımaktadır. Çalışmamıza benzer olarak yapılan diğer çalışmalarda, serolojik tanı amacına yönelik olarak rekombinant CagA proteinleri üretilmiş ve bu proteinler kullanılarak uygulanan “in house“ WB ve ELISA testlerinin yüksek duyarlılık (%88-96.2) ve özgüllüğe (%96.6-100) sahip olduğu bildirilmiştir25,26,27. Ancak bizim çalışmamızda yöntem tasarımı yapılmadığından, geliştirdiğimiz rekombinant CagA proteininin tanısal performasını değerlendirmek mümkün olmamıştır.   

Ülkemizde cagA gen bölgesine yönelik PCR tabanlı ve anti-CagA tespitine yönelik serolojik araştırmalar yapılmış olup, bunlar daha ziyade prevalans çalışmalarıdır28,29,30,31,32,33,34,35. Bizim çalışmamızda üretilen rekombinant CagA proteini, hasta serumlarında anti-CagA antikorlarının araştırılması amacıyla geliştirilecek olan testlerde kullanılabilir niteliktedir. Bu testler, dispeptik hastalardaki H.pylori suşlarının CagA pozitif olup olmadığının saptanabilmesine, hastalık prognozunun öngörülebilmesine ve uygun antimikrobiyal tedavinin seçilmesine yardımcı olacaktır.

KAYNAKLAR

  1. Hatakeyama M, Higashi H. Helicobacter pylori CagA: a new paradigm for bacterial carcinogenesis. Cancer Sci 2005; 96(12): 835-43.
  2. Kusters JG, van Vliet AH, Kuipers EJ. Pathogenesis of Helicobacter pylori infection. Clin Microbiol Rev 2006; 19(3): 449-90.
  3. Blaser MJ, Atherton JC. Helicobacter pylori persistence: biology and disease. J Clin Invest 2004; 113(3): 321-33.
  4. Josenhans C, Beier D, Linz B, Meyer TF, Suerbaum S. Pathogenomics of Helicobacter. Int J Med Microbiol 2007; 297(7-8): 589-600.
  5. Göral V, Doppl W, Klör HU ve ark. Sağlıklı kişilerde Helicobacter pylori sıklığı. T Klin Gastroenterohepatoloji 1995; 6(1): 26-8.
  6. Us D, Hasçelik G. Seroprevalence of Helicobacter pylori infection in an asymptomatic Turkish population. J Infect 1998; 37(2): 148-50.
  7. Ozden A, Bozdayi G, Ozkan M, Köse KS. Changes in the seroepidemiological pattern of Helicobacter pylori infection over the last 10 years. Turk J Gastroenterol 2004; 15(3): 156-8.
  8. Selimoglu MA, Ertekin V, Inandi T. Seroepidemiology of Helicobacter pylori infection in children living in eastern Turkey. Pediatr Int 2002; 44(6): 666-9.
  9. Covacci A, Censini S, Bugnoli M, et al. Molecular characterization of the 128-kDa immunodominant antigen of Helicobacter pylori associated with cytotoxicity and duodenal ulcer. Proc Natl Acad Sci U S A 1993; 90(12): 5791-5.
  10. Wen S, Moss SF. Helicobacter pylori virulence factors in gastric carcinogenesis. Cancer Lett 2009; 282(1): 1-8.
  11. Roesler BM, Rabelo-Gonçalves EM, Zeitune JM. Virulence factors of Helicobacter pylori: a review. Clin Med Insights Gastroenterol 2014; 7: 9-17.
  12. Segal ED, Cha J, Lo J, et al. Altered states: involvement of phosphorylated Caga in the induction of host cellular growth changes by Helicobacter pylori. Proc Natl Acad Sci U S A 1999 Dec: 7;96(25): 14559-64.
  13. Stein M, Rappuoli R, Covacci A. Tyrosine phosphorylation of the Helicobacter pylori CagA antigen after cag-driven host cell translocation. Proc Natl Acad Sci U S A 2000; 97(3): 1263-8.
  14. Selbach M, Moese S, Hauck CR, et al. Src is the kinase of the Helicobacter pylori CagA protein in vitro and in vivo. J Biol Chem 2002; 277(9): 6775-8.
  15. Poppe M, Feller SM, Römer G, et al. Phosphorylation of Helicobacter pylori CagA by c-Abl leads to cell motility. Oncogene 2007; 26(24): 3462-72.
  16. Argent RH, Zhang Y, Atherton JC. Simple method for determination of the number of Helicobacter pylori CagA variable-region EPIYA tyrosine phosphorylation motifs by PCR. J Clin Microbiol 2005; 43(2): 791-5.
  17. Huang JQ, Zheng GF, Sumanac K, et al. Meta-analysis of the relationship between cagA seropositivity and gastric cancer. Gastroenterology 2003; 125(6): 1636-44.
  18. Bindayna KM, Al Baker WA, Botta GA. Detection of  Helicobacter pylori  cagA gene in gastric  biopsies, clinical isolates and faeces. Indian J Med Microbiol  2006; 24(3): 195-200.
  19. Taylor DE, Ge Z Purych D,   Lo T, Hiratsuka K. Cloning and sequence analysis of two copies of a 23S rRNA  gene from Helicobacter pylori and association of clarithromycin resistance with 23S rRNA mutations. Antimicrob Agents Chemother 1997; 41(12):  2621-8.
  20. Occhialini A, Marais A, Urdaci M, et al. Composition and gene expression of the cag pathogenicity island in Helicobacter pylori strains isolated from gastric carcinoma and gastritis patients in Costa Rica. Infect Immun 2001; 69(3): 1902-8.
  21. Lage AP, Godfroid E, Fauconnier A, et al. Diagnosis of Helicobacter pylori infection by PCR: comparison with other invasive techniques and detection of cagA gene in gastric biopsy specimens. J Clin Microbiol 1995; 33(10): 2752-6.
  22. Paoluzi OA, Rossi P, Montesano C, et al. Discrepancy between polymerase chain reaction assay and Western blot analysis in the assessment of CagA status in dyspeptic patients. Helicobacter 2001; 6(2): 130-5.
  23. Krausse R, Garten L, Harder T, et al. Clinical relevance of CagA-specific antibodies related to CagA status of Helicobacter pylori isolates using immunofluorescence test and PCR. Infection 2001; 29(3): 154-8.
  24. Carroll IM, Khan AA, Ahmed N. Revisiting the pestilence of Helicobacter pylori: insights into geographical genomics and pathogen evolution. Infect Genet Evol 2004; 4(2): 81-90.
  25. Xiang Z, Bugnoli M, Ponzetto A, et al. Detection in an enzyme immunoassay of an immune response to a recombinant fragment of the 128 kilodalton protein (CagA) of Helicobacter pylori. Eur J Clin Microbiol Infect Dis 1993; 12(10): 739-45.
  26. Klimovich AV, Samoylovich MP, Gryazeva IV, Terekhina LA, Suvorov AN, Klimovich VB. Development of immunoreagents for diagnostics of CagA-positive Helicobacter pylori infections. Helicobacter 2010; 15(3): 193-200.
  27. González L, Marrero K, Reyes O, Rodríguez E, Martínez L, Rodríguez BL. Cloning and expression of a recombinant CagA-gene fragment of Helicobacter pylori and its preliminary evaluation in serodiagnosis. Biomedica 2013; 33(4): 546-53.
  28. Demirtürk L, Ozel AM, Yazgan Y, et al. CagA status in dyspeptic patients with and without peptic ulcer disease in Turkey: association with histopathologic findings. Helicobacter 2001; 6(2): 163-8.
  29. Abasiyanik MF, Sander E, Salih BA. Helicobacter pylori anti-CagA antibodies: prevalence in symptomatic and asymptomatic subjects in Turkey. Can J Gastroenterol 2002; 16(8): 527-32.
  30. Saribasak H, Barik AS, Yamaoka Y, et al. Analysis of Helicobacter pylori genotypes and correlation with clinical outcome in Turkey. J Clin Microbiol 2004; 42(4): 1648-51.
  31. Erzin Y, Altun S, Dobrucali A, et al. Analysis of serum antibody profile against H.pylori VacA and CagA antigens in Turkish patients with duodenal ulcer. World J Gastroenterol 2006; 12(42): 6869-73.
  32. 32. Nagiyev T, Yula E, Abayli B, et al. Prevalence and genotypes of Helicobacter pylori in gastric biopsy specimens from patients with gastroduodenal pathologies in the Cukurova region of Turkey. J Clin Microbiol 2009; 47(12): 4150-3.
  33. 33. Sarıbaş Z, Demir H, Saltık Temizel IN, Simşek H, Ozen H, Akyön Y. Detection of cagA prevalence in clinical isolates of Helicobacter pylori. Mikrobiyol Bul 2010; 44(3): 461-5.
  34. 34. Ozbey G, Aygun C. Prevalence of genotypes in Helicobacter pylori isolates from patients in Eastern Turkey and the association of these genotypes with clinical outcome. Braz J Microbiol 2012; 44(4): 1332-9.
  35. 35. Ozbey G, Dogan Y, Demiroren K. Prevalence of Helicobacter pylori virulence genotypes among children in Eastern Turkey. World J Gastroenterology 2013; 19(39): 6585-9.

Yazdır